診所介紹
醫療團隊
醫療項目
水雷射微創植牙
DSD美白貼片
顯微根管治療
仿真全瓷牙冠
隱適美矯正(隱形矯正)
戴蒙矯正(齒顎矯正)
牙周病治療
All on 4一日全口重建
水雷射治療
MRC肌功能矯正
數位3D齒雕
環境設備
門診時間
案例分享
診所介紹
醫療團隊
醫療項目
+
–
水雷射微創植牙
DSD美白貼片
顯微根管治療
仿真全瓷牙冠
隱適美矯正(隱形矯正)
戴蒙矯正(齒顎矯正)
牙周病治療
All on 4一日全口重建
水雷射治療
MRC肌功能矯正
數位3D齒雕
環境設備
門診時間
案例分享
隱形矯正(青少年案例)
首頁
/
案例分享
/
隱形矯正(青少年案例)
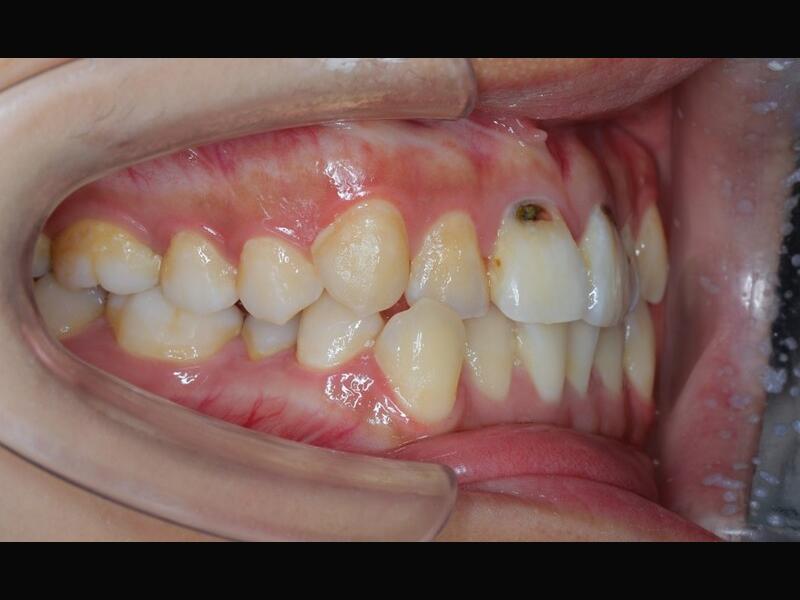
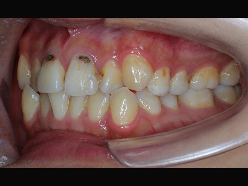
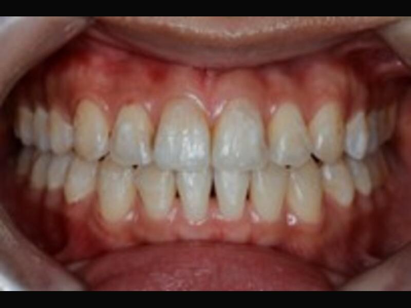
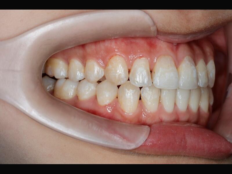
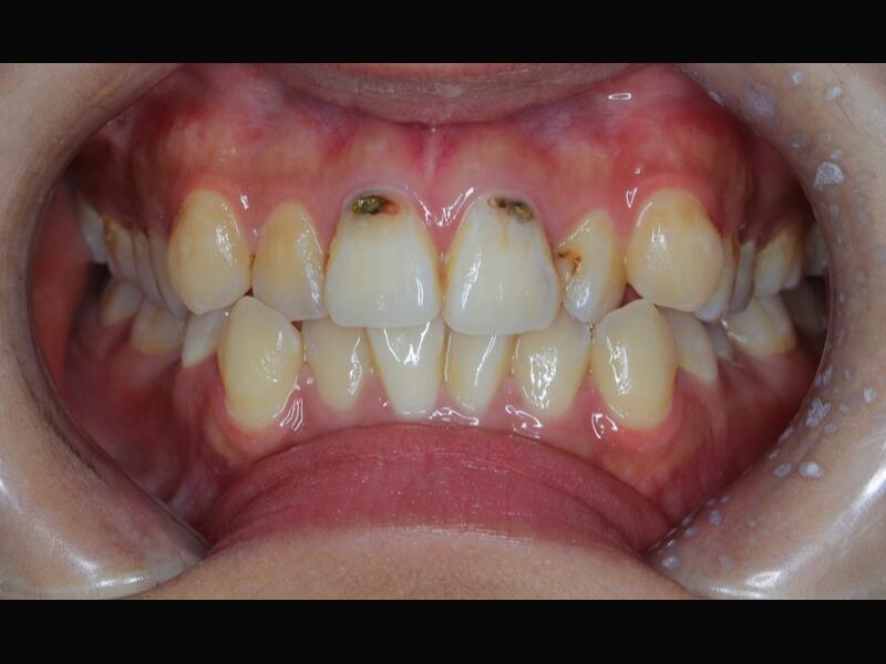
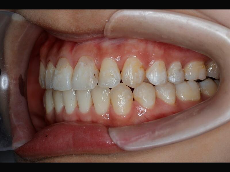
隱形矯正(青少年案例)
案例狀況:
前牙錯咬、亂、咬合不正
Before
After
分享到
#隱形矯正
關閉