案例狀況:

牙齒蛀牙、斷裂。

案例介紹:

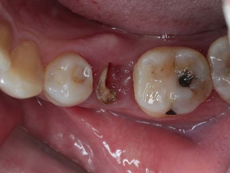
殘餘牙齒拔除後,待傷口癒合,使用口掃機取得全口3D模型,製作數位導板和治療計畫,精準定位將組織及骨膜切開,將植體鎖入凹槽並在齒槽骨裡面,讓植體周圍牙肉保持在最佳狀態。中間等待約3-6個月的時間,讓植體與骨肉整合,待復原完成後就可以取模製作植牙假牙了。

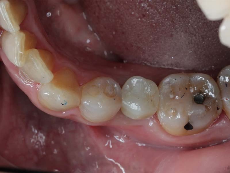
拔牙前
植牙案例分享
植牙案例分享
拍攝電腦斷層影像和口腔口掃並製作治療計畫
植牙案例分享
 
植牙案例分享
植牙案例分享

使用數位手術導板精確定位植體位置,確保角度與深度正確,提升植牙成功率

植牙案例分享
植牙案例分享
植牙案例分享
裝上植牙假牙
完成
植牙案例分享
植牙案例分享
關閉