荷堤的美感,讓您的微笑更美麗

案例狀況:

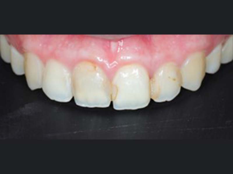
牙齒偏黃、咖啡漬、補牙範圍面積大。

案例介紹:

透過DSD數位微笑設計,將牙齒進行微量的修整,避免掉修磨太多牙齒的缺點,然後同時改牙齒的顏色跟形狀,使陶瓷貼片與原牙更加密合美觀。給您帶來全新美好的笑容!

Before
美白貼片案例美白貼片案例美白貼片案例美白貼片案例美白貼片案例
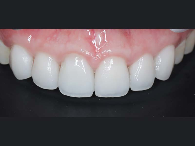
After
美白貼片案例美白貼片案例美白貼片案例美白貼片案例美白貼片案例
關閉